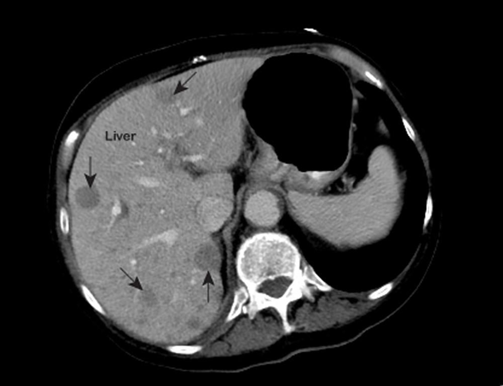
Metastasen der Leber
Ein auffälliges MRT des Brustkorbs zeigt Bereiche mit geringer Abschwächung (mit Pfeilen markiert) innerhalb der Leber. Dieses Erscheinungsbild ist typisch für metastasierenden Leberkrebs.
Photo courtesy of Patrick O’Kane, MD.
In diesen Themen
