Mesenteriale Ischämie (CT-Angiogramm)
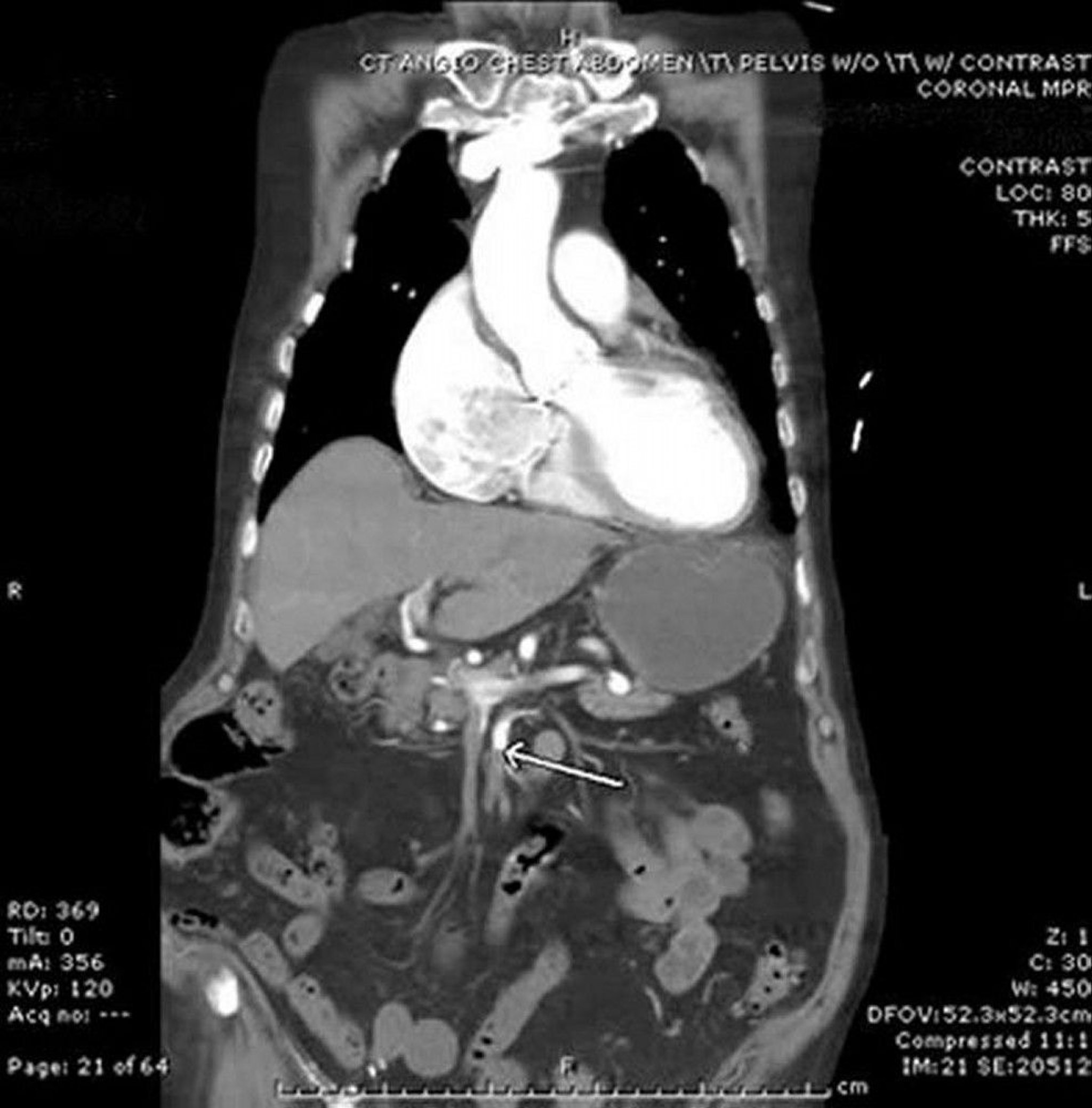
In diesem Bild zeigt der Pfeil auf die Arteria mesenterica superior, die einen abrupten Abbruch des intravenösen Kontrastmittels aufweist. Es ist eine Verdickung des Dünndarms im linken Bauchraum zu sehen. In diesem Fall handelt es sich um eine Embolie aus dem Herzen bei einem Patienten mit Vorhofflimmern.
Image provided by Parswa Ansari, MD.
In diesen Themen
