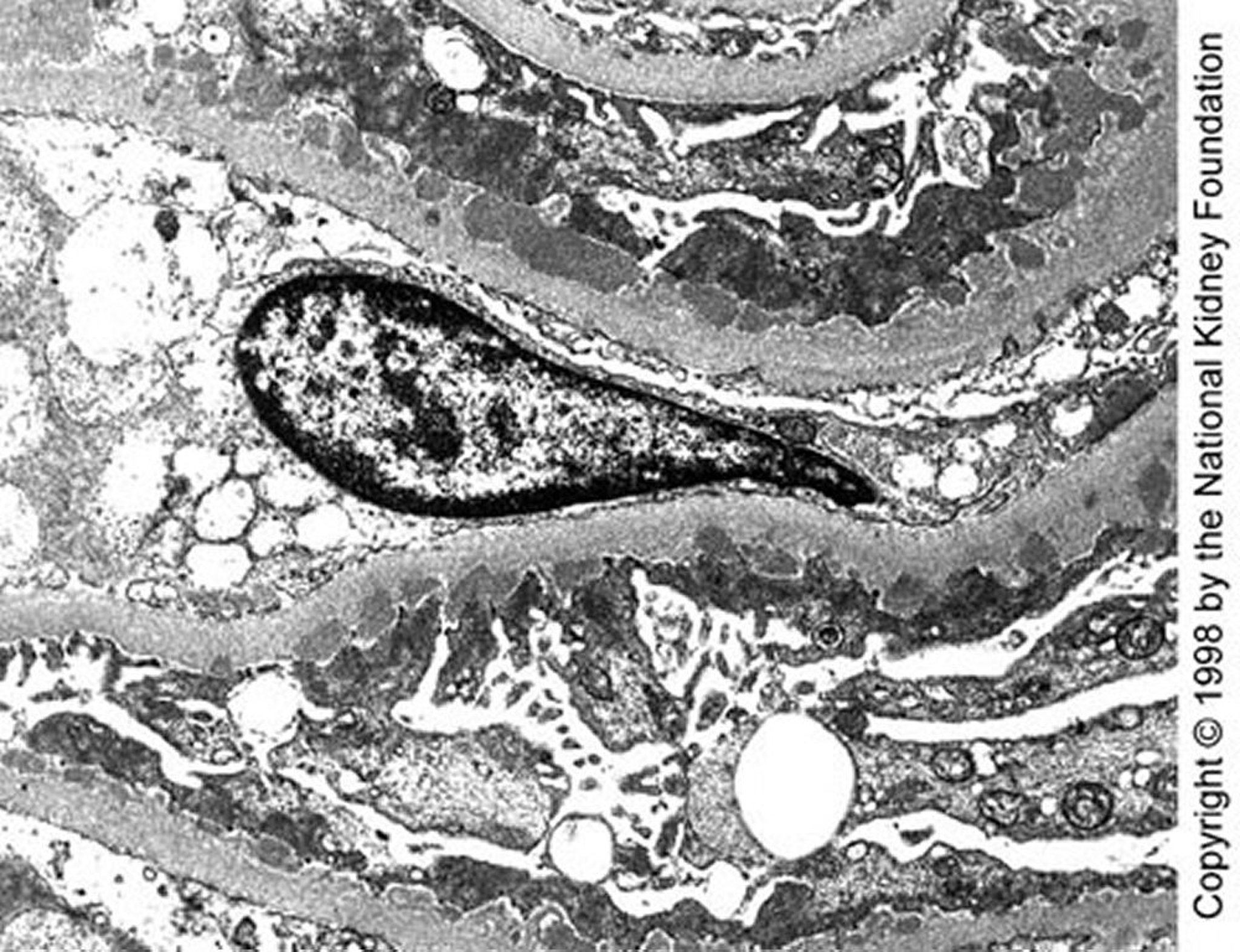
Membranöse Nephropathie (dichte Ablagerungen)
Mittelgroße, dichte subepitheliale Ablagerungen sind in der Transmissionselektronenmikroskopie im späten Stadium I der Krankheit zu sehen (×10.200).
Image provided by Agnes Fogo, MD, and the American Journal of Kidney Diseases' Atlas of Renal Pathology (see www.ajkd.org).
In diesen Themen
