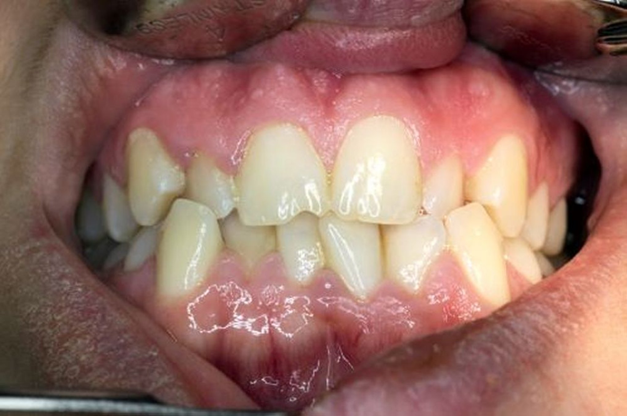
Malokklusion
Dieses Foto zeigt eine Fehlstellung zwischen Ober- und Unterkieferzähnen beim Schließen des Kiefers.
DR ARMEN TARANYAN/SCIENCE PHOTO LIBRARY
In diesen Themen
Dieses Foto zeigt eine Fehlstellung zwischen Ober- und Unterkieferzähnen beim Schließen des Kiefers.
DR ARMEN TARANYAN/SCIENCE PHOTO LIBRARY