Langerhans-Zell-Histiozytose (Kopf-CT)
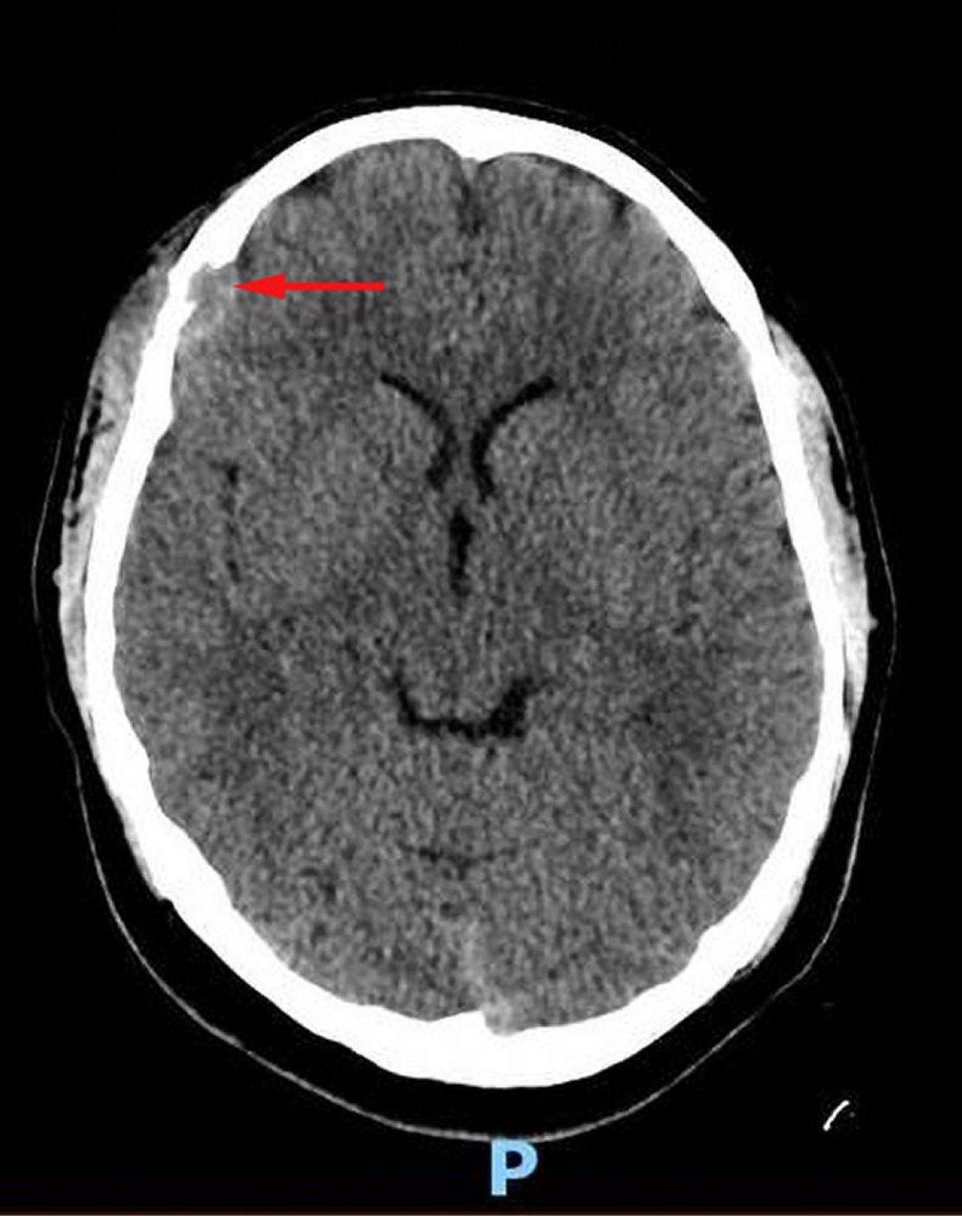
Diese Abbildung zeigt eine Weichgewebeläsion im rechten Stirnbein mit begleitender knöcherner Zerstörung und intrakranieller Ausdehnung des Weichgewebes in den Duralraum (roter Pfeil). Asymmetrisches, über der Kopfhaut liegendes Weichteilgewebe ist vorhanden. Die Biopsie war diagnostisch für Langerhans-Zell-Histiozytose.
Image courtesy of Carolyn Fein Levy, MD, and Jeffrey M. Lipton, MD, PhD.
In diesen Themen
