Karpometakarpalfrakturen
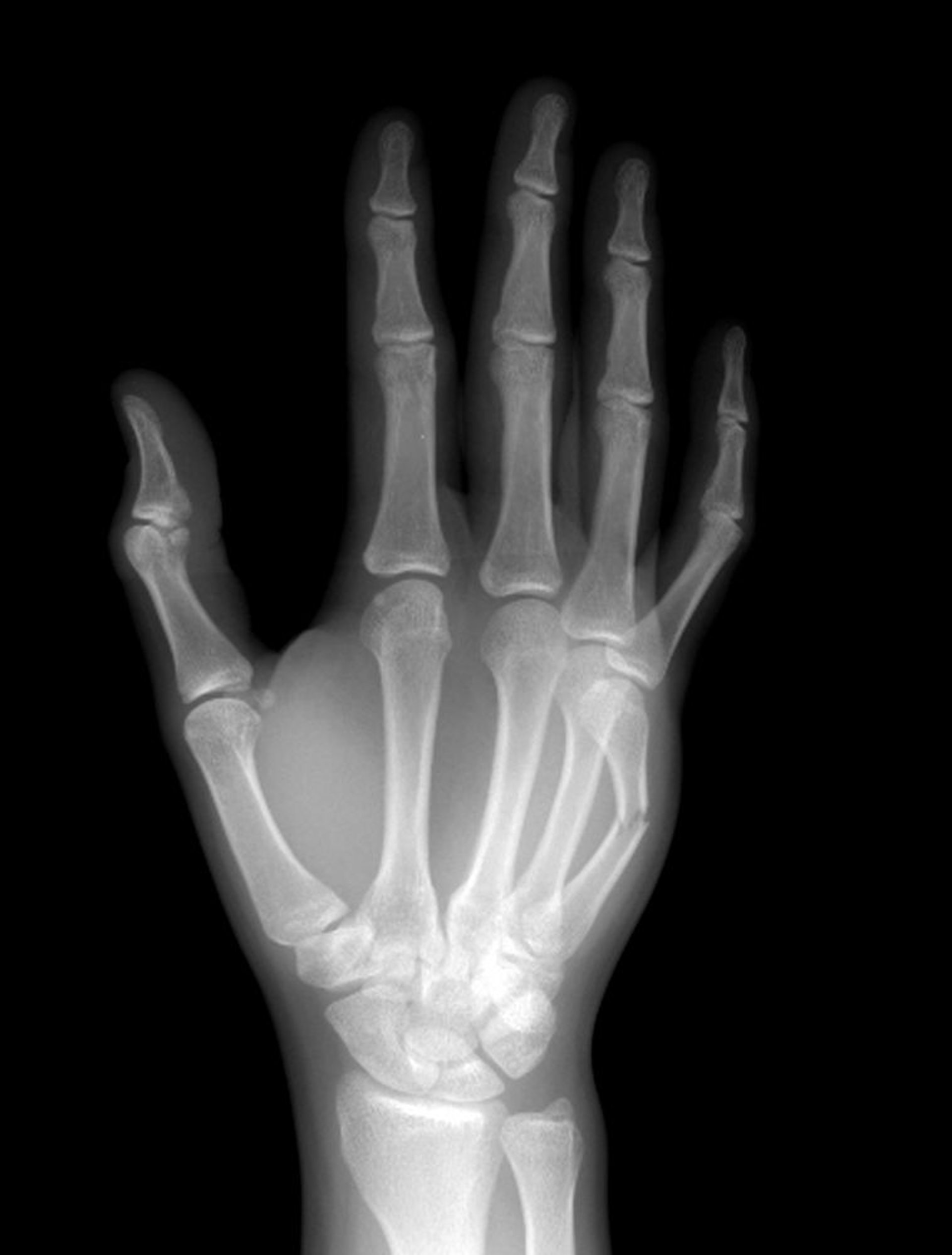
Der 5. Mittelhandknochen ist in der Mitte des Schafts gebrochen.
LIVING ART ENTERPRISES, LLC/SCIENCE PHOTO LIBRARY
In diesen Themen
Der 5. Mittelhandknochen ist in der Mitte des Schafts gebrochen.
LIVING ART ENTERPRISES, LLC/SCIENCE PHOTO LIBRARY