Karies (bei Untersuchung)
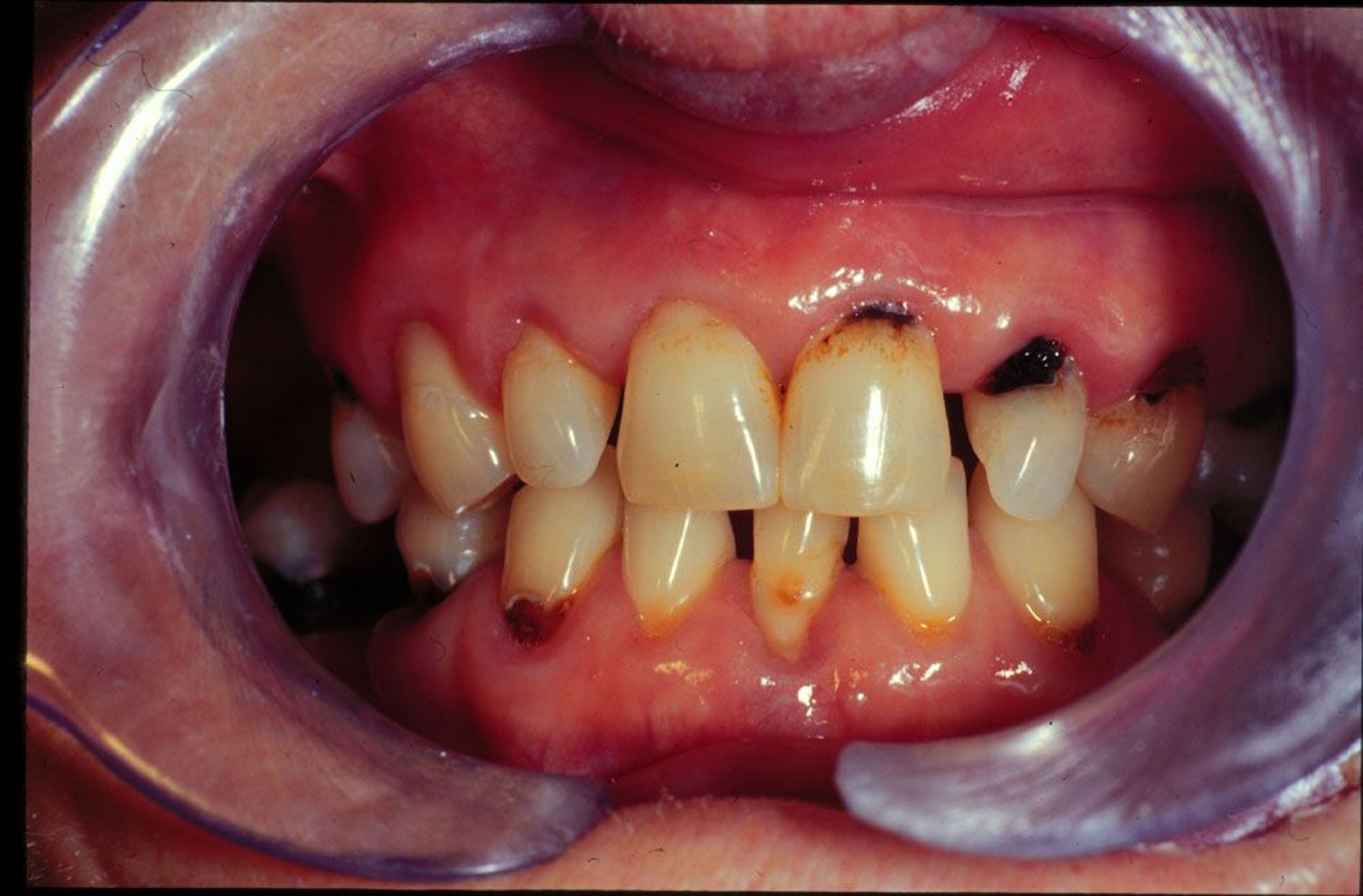
Neue und rezidivierende Zahnkaries bei einem Patienten mit trockenem Mund.
Image provided by Jonathan A. Ship, DMD.
In diesen Themen
Neue und rezidivierende Zahnkaries bei einem Patienten mit trockenem Mund.
Image provided by Jonathan A. Ship, DMD.