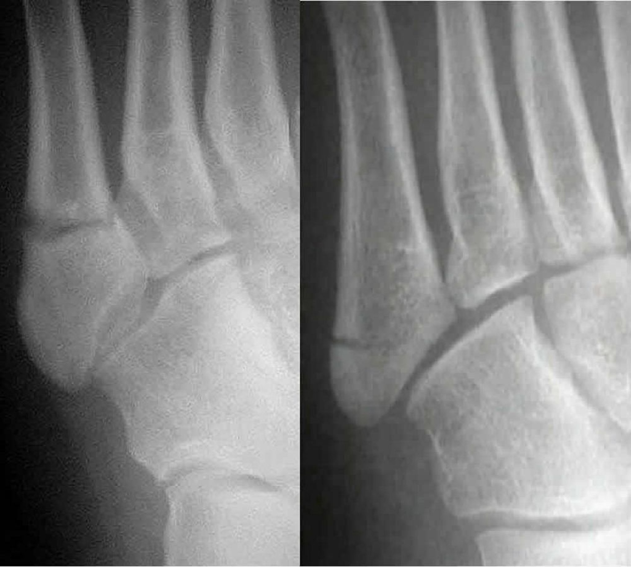
Jones- und Pseudo-Jones-Frakturen
Bei einer Jones-Fraktur (links) ist der Schaft des 5. Mittelfußknochens betroffen; bei einer Pseudo-Jones-Fraktur (rechts) ist die Basis des 5. Mittelfußknochens betroffen. Es ist wichtig, die beiden zu unterscheiden, weil sie unterschiedlich behandelt werden.
Images courtesy of Danielle Campagne, MD.
In diesen Themen
