Hypertrophe Kardiomyopathie (apikale Variante)
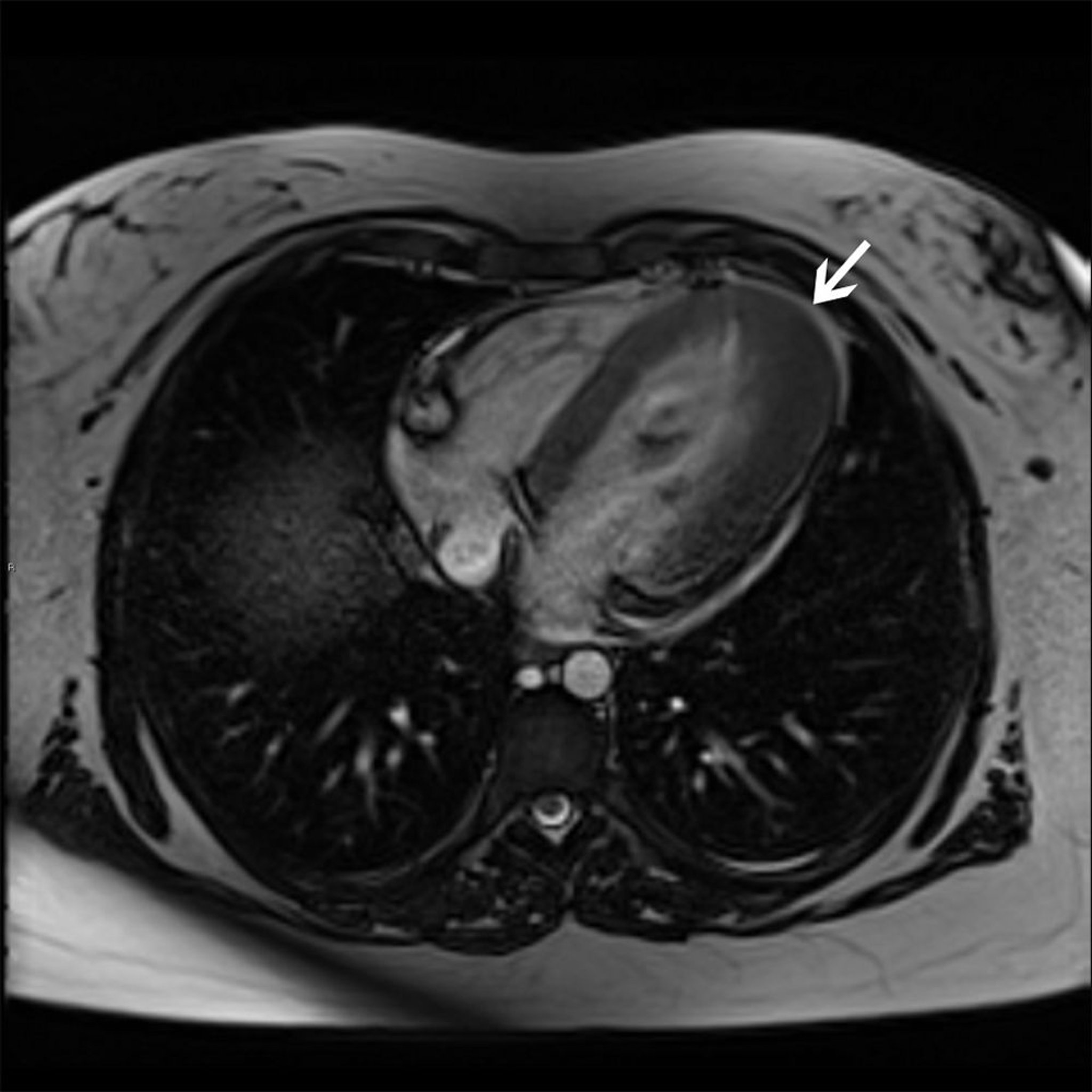
Dieses kardiale MRT zeigt eine apikale Hypertrophievariante (Pfeil) der hypertrophen Kardiomyopathie.
© 2017 Elliot K. Fishman, MD.
In diesen Themen
Dieses kardiale MRT zeigt eine apikale Hypertrophievariante (Pfeil) der hypertrophen Kardiomyopathie.
© 2017 Elliot K. Fishman, MD.