Fournier-Gangrän (Röntgenaufnahme des Abdomens)
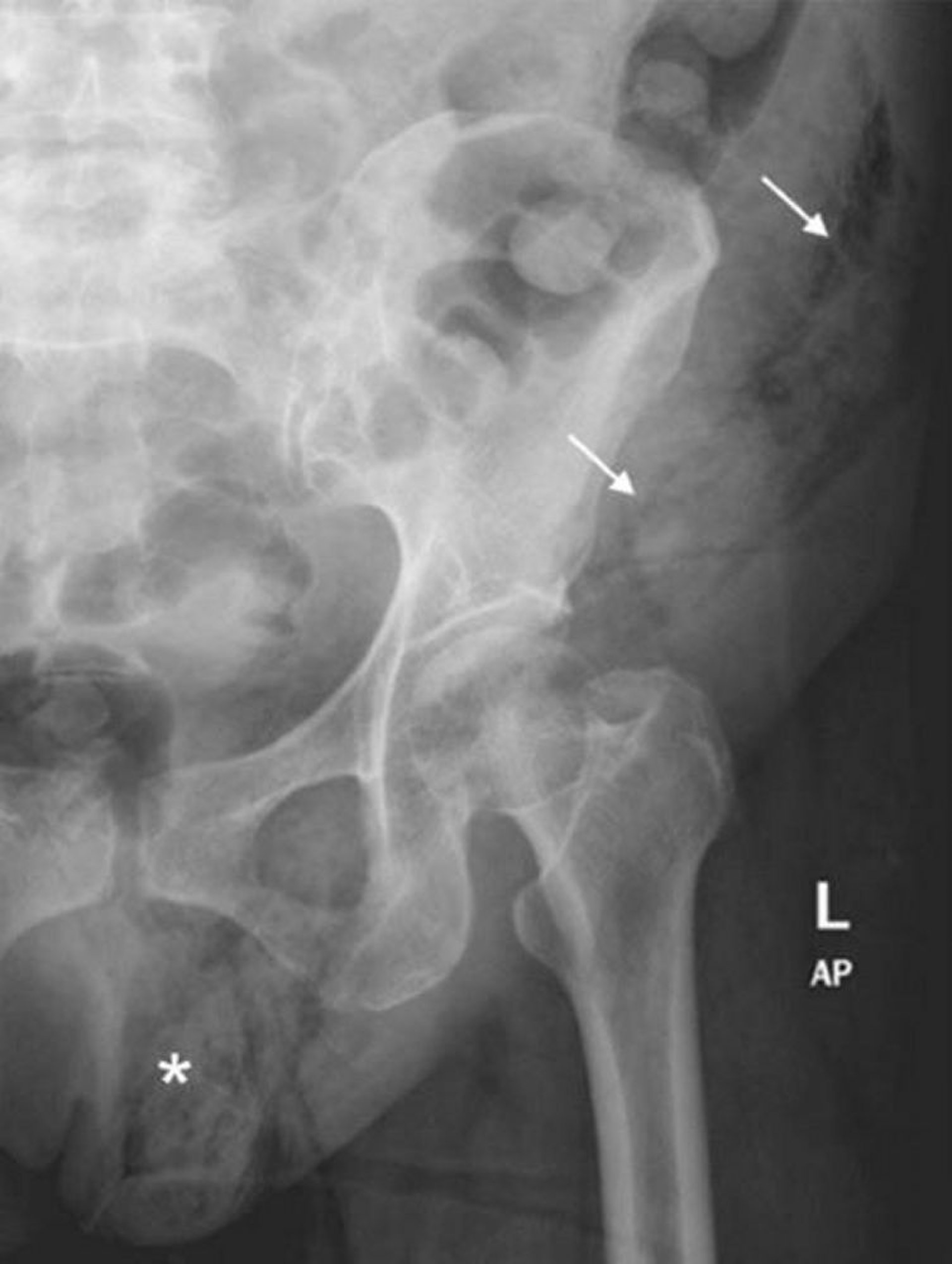
Diese Röntgenaufnahme des Abdomens zeigt eine Ausdehnung des Weichteilgases vom linken Hemiskrotum (*) auf die linke Bauchdecke (Pfeile).
© Springer Science+Business Media
In diesen Themen
Diese Röntgenaufnahme des Abdomens zeigt eine Ausdehnung des Weichteilgases vom linken Hemiskrotum (*) auf die linke Bauchdecke (Pfeile).
© Springer Science+Business Media