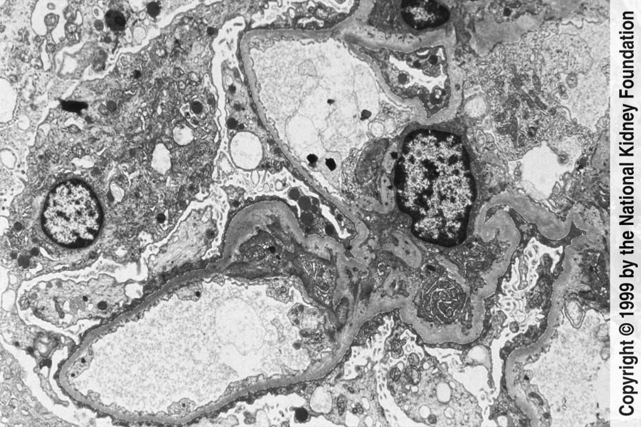
Fokal-segmentale Glomerulosklerose (Abstumpfung und Verkleinerung der Podozyten)
In der Transmissionselektronenmikroskopie (×3000) ist eine weitgehende Abstumpfung und Auslöschung der Podozyten zu erkennen.
Image provided by Agnes Fogo, MD, and the American Journal of Kidney Diseases' Atlas of Renal Pathology (see www.ajkd.org).
In diesen Themen
