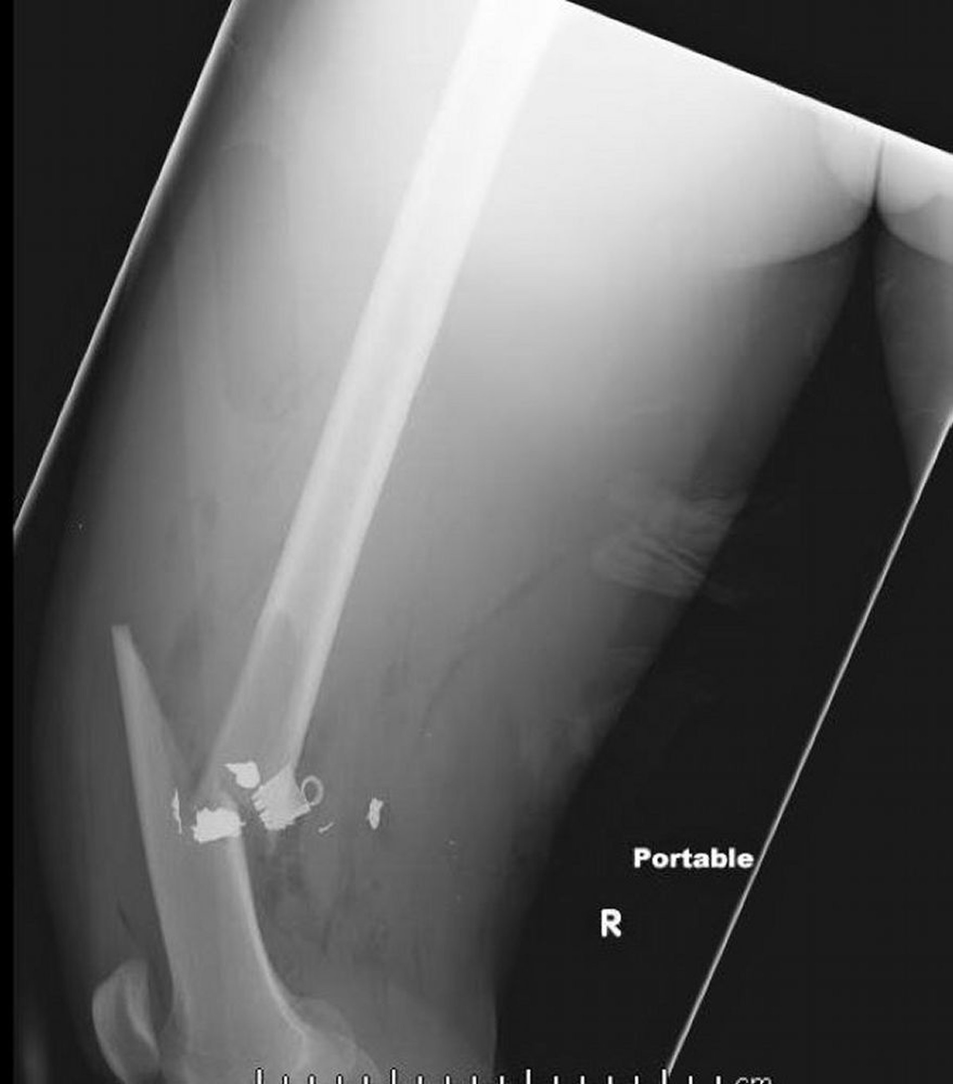
Femurfraktur in der Schaftmitte (2)
Diese Röntgenaufnahme des lateralen Oberschenkels zeigt eine Femurfraktur in der Schaftmitte mit Luft im Weichteilgewebe und zurückgebliebenen Fremdkörpern metallischer Dichte.
Image courtesy of Danielle Campagne, MD.
In diesen Themen
