Farbdopplersonographie
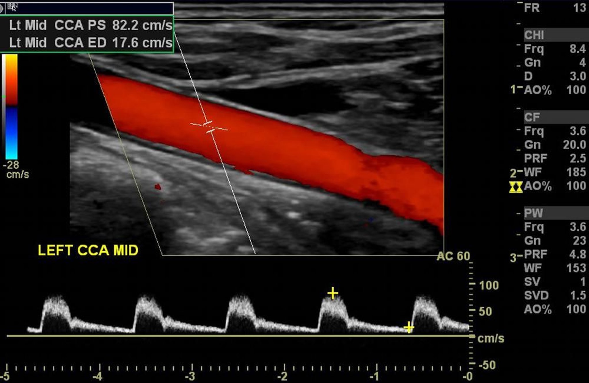
Die Farbdoppler-Ultraschalluntersuchung der linken Halsschlagader zeigt einen normalen arteriellen Fluss ohne signifikante Verengung.
Image courtesy of Hakan Ilaslan, MD.
In diesen Themen
Die Farbdoppler-Ultraschalluntersuchung der linken Halsschlagader zeigt einen normalen arteriellen Fluss ohne signifikante Verengung.
Image courtesy of Hakan Ilaslan, MD.