Epiphysiolysis Femoris (Slipped Capital Femoral Epiphysis, SCFE)
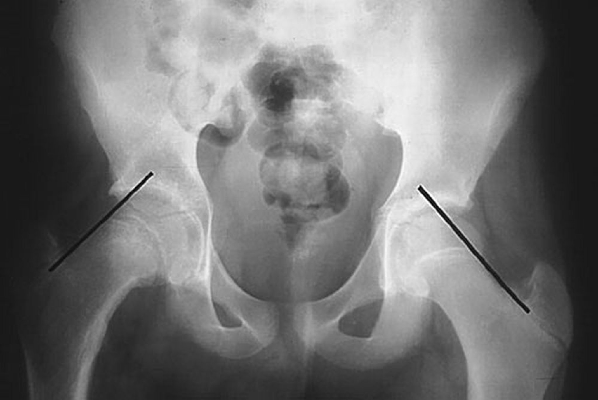
Bei diesem Patienten mit verrutschter Kapital-Schenkel-Epiphyse (SCFE) der rechten Hüfte werden kleine Linien an der oberen Grenze des Oberschenkelhalses gezogen. Beachten Sie, dass sich der Femurkopf auf der betroffenen rechten Seite unterhalb der Klein-Linie befindet, während sich ein erheblicher Teil des Femurkopfs auf der linken Seite nicht auf der Klein-Linie befindet.
By permission of the publisher. From Campbell R Jr: Current Orthopedic Diagnosis and Treatment. Herausgegeben von J.D. Heckman, R.C. Schenck und A. Agarwal. Philadelphia, Current Medicine, 2002.
In diesen Themen
