Einschlusskörpermyositis
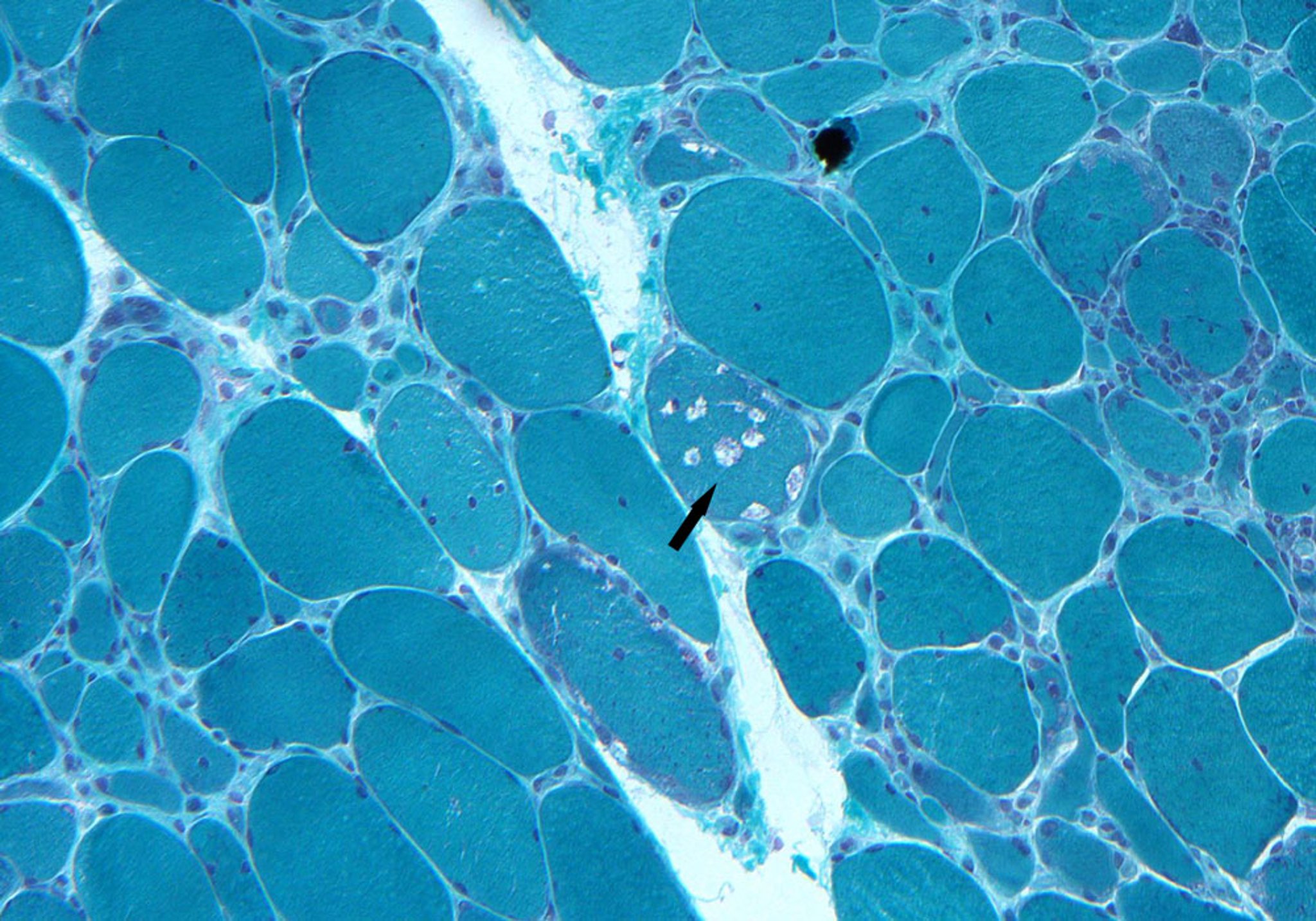
Diese Biopsieprobe zeigt endomysiale Infiltrate, Myofiberdegeneration und umrandete Vakuolen (Pfeil).
Photo courtesy of Kinanah Yaseen, MD.
In diesen Themen
Diese Biopsieprobe zeigt endomysiale Infiltrate, Myofiberdegeneration und umrandete Vakuolen (Pfeil).
Photo courtesy of Kinanah Yaseen, MD.