Dilatative Kardiomyopathie (Röntgenthorax)
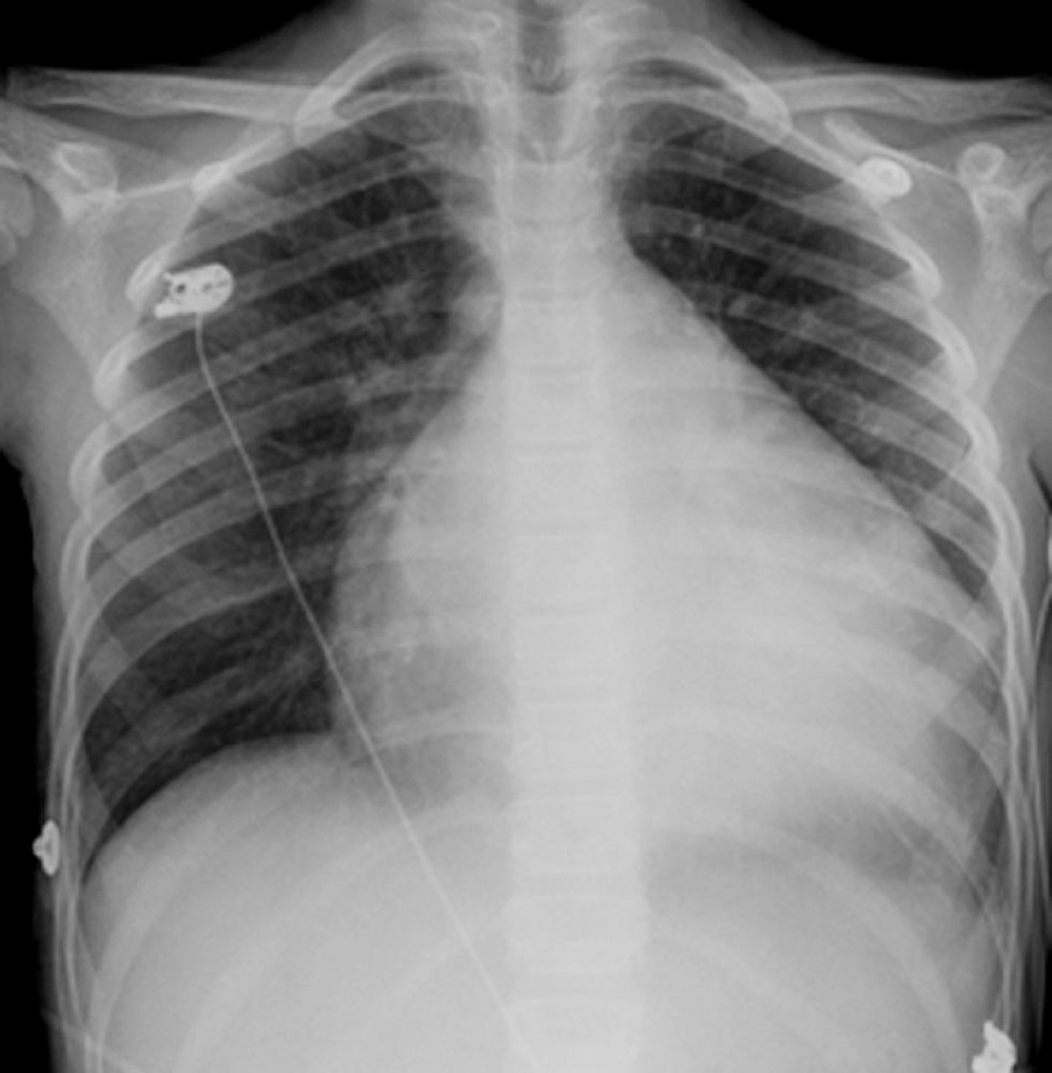
Diese Röntgenaufnahme zeigt eine schwere Kardiomegalie bei einem Patienten mit dilatativer Kardiomyopathie.
© Springer Science+Business Media
In diesen Themen
Diese Röntgenaufnahme zeigt eine schwere Kardiomegalie bei einem Patienten mit dilatativer Kardiomyopathie.
© Springer Science+Business Media