CT-Scan eines Patienten mit Okklusion der oberflächlichen Femoralarterien
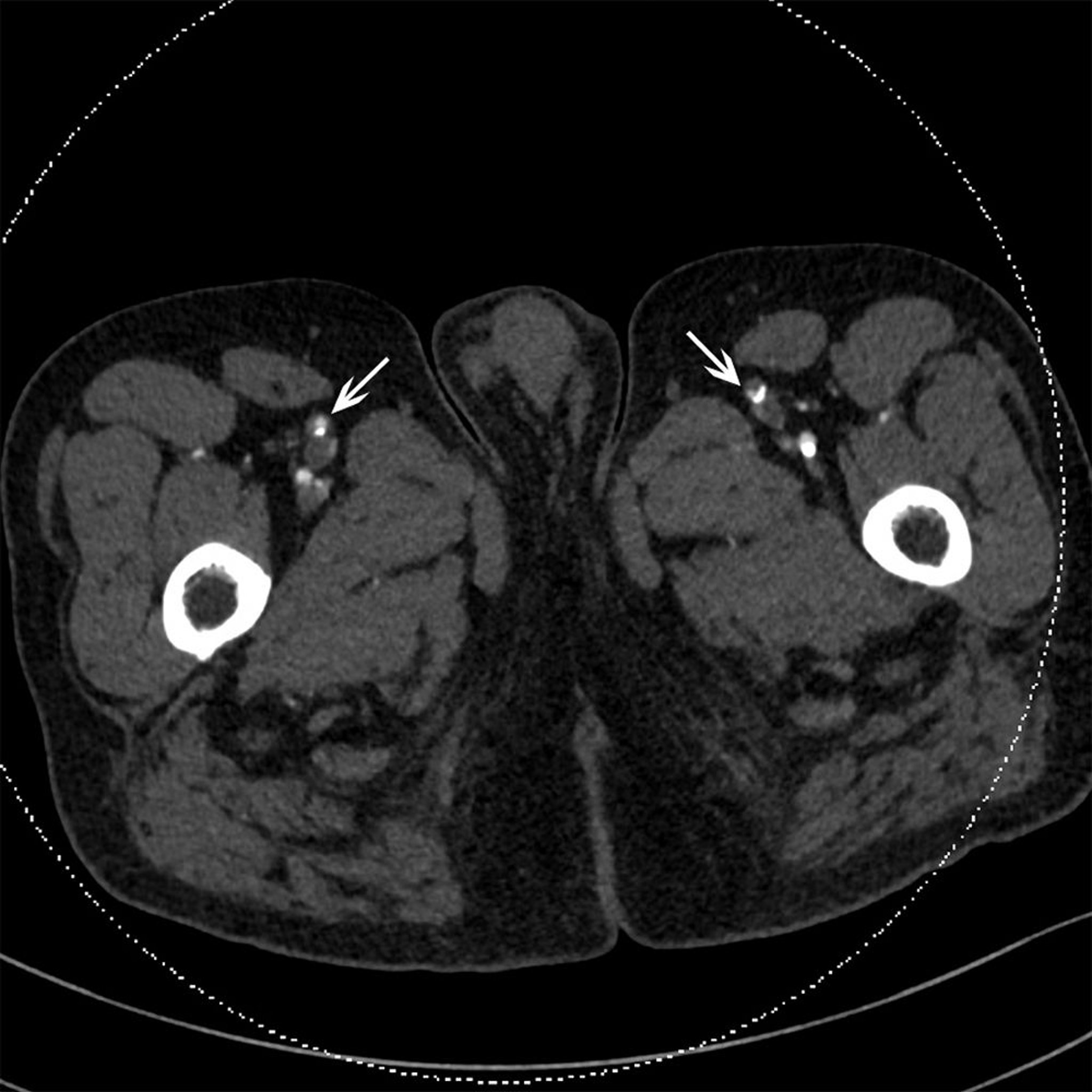
Dieses CT zeigt beidseitig kalzifizierte Plaque in den oberflächlichen Femoralarterien (Pfeile).
© 2017 Elliot K. Fishman, MD.
In diesen Themen
Dieses CT zeigt beidseitig kalzifizierte Plaque in den oberflächlichen Femoralarterien (Pfeile).
© 2017 Elliot K. Fishman, MD.