Chronische Hypersensitivitätspneumonitis
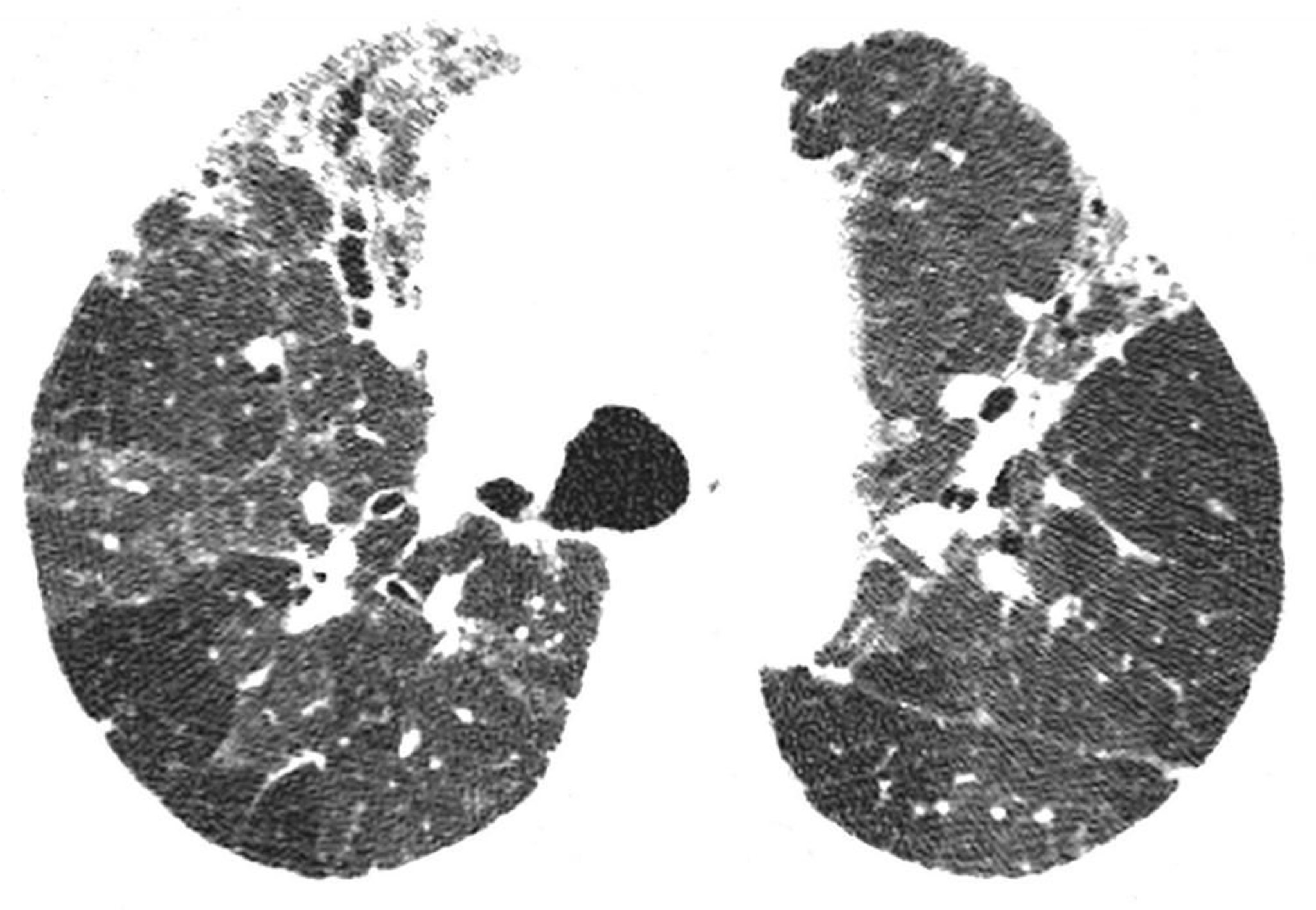
Die hochauflösende CT zeigt Befunde einer Fibrose, einschließlich unregelmäßiger Retikulation und Traktionsbronchiektasie. Bereiche mit verminderter Lungendichte sind kompatibel mit Regionen mit Atemwegsobstruktion. Diese Kombination von Befunden deutet auf eine Hypersensitivitätspneumonitis hin.
Image courtesy of Harold R. Collard, MD.
In diesen Themen
