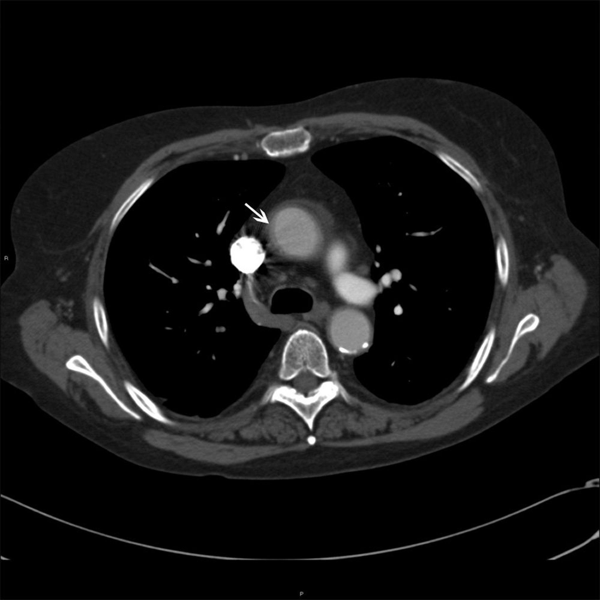
Aszendierende Aorta bei Patienten mit Takayasu Arteriitis
Dieses Foto zeigt eine Wandverdickung (weißer Pfeil) der aufsteigenden Aorta bei einem Patienten mit Takayasu-Arteriitis.
© 2017 Elliot K. Fishman, MD.
In diesen Themen
Dieses Foto zeigt eine Wandverdickung (weißer Pfeil) der aufsteigenden Aorta bei einem Patienten mit Takayasu-Arteriitis.
© 2017 Elliot K. Fishman, MD.