سرطانُ الكبد النَّقيلي Metastatic Liver Cancer
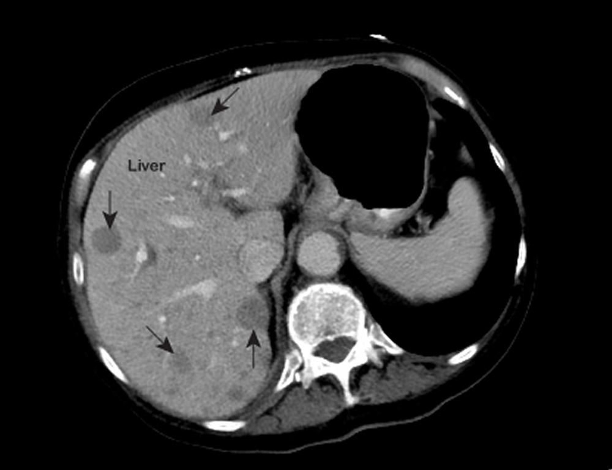
صورة رنين مغناطيسي للصدر تُظهر مناطق غير طبيعية في داخل الكبد (اتجاه الأسهم).تُعد هذه العلامات نمطية للإصابة بسرطان الكبد النقيلي.
جرى استخدام الصورة بعد موافقة أصحابها Patrick O’Kane, MD.
في هذه الموضوعات
