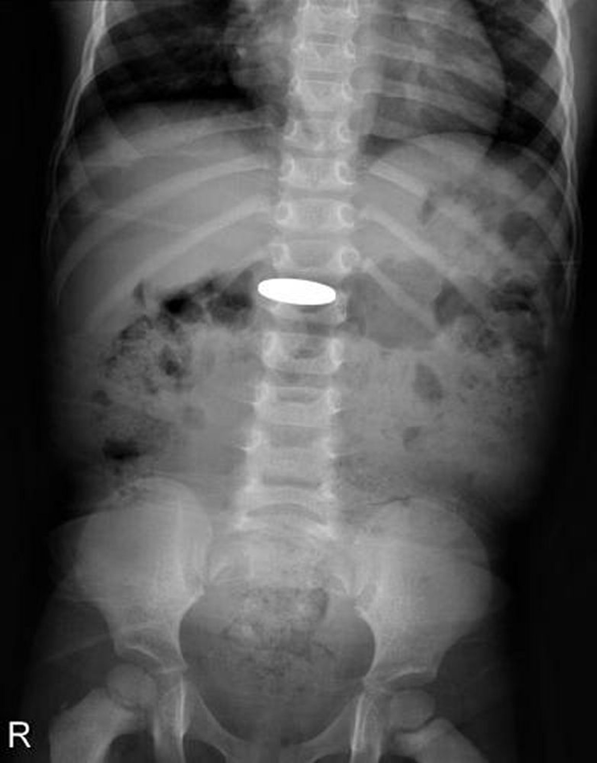
جسم أجنبي في السبيل الهضمي (صورة شعاعية)
تُظهر هذه الصورة الشعاعية عملة معدنية قام طفل صغير بابتلاعها.
DU CANE MEDICAL IMAGING LTD/SCIENCE PHOTO LIBRARY
في هذه الموضوعات
تُظهر هذه الصورة الشعاعية عملة معدنية قام طفل صغير بابتلاعها.
DU CANE MEDICAL IMAGING LTD/SCIENCE PHOTO LIBRARY