honeypot link
skip to main content
أدلة MSD
إصدار المُستخدِم
موضوعات صحية
الحياة الصحية
الأعراض
الحالات الطارئة
الموارد
التعليق
حول
موضوعات صحية
الحياة الصحية
<
الصور
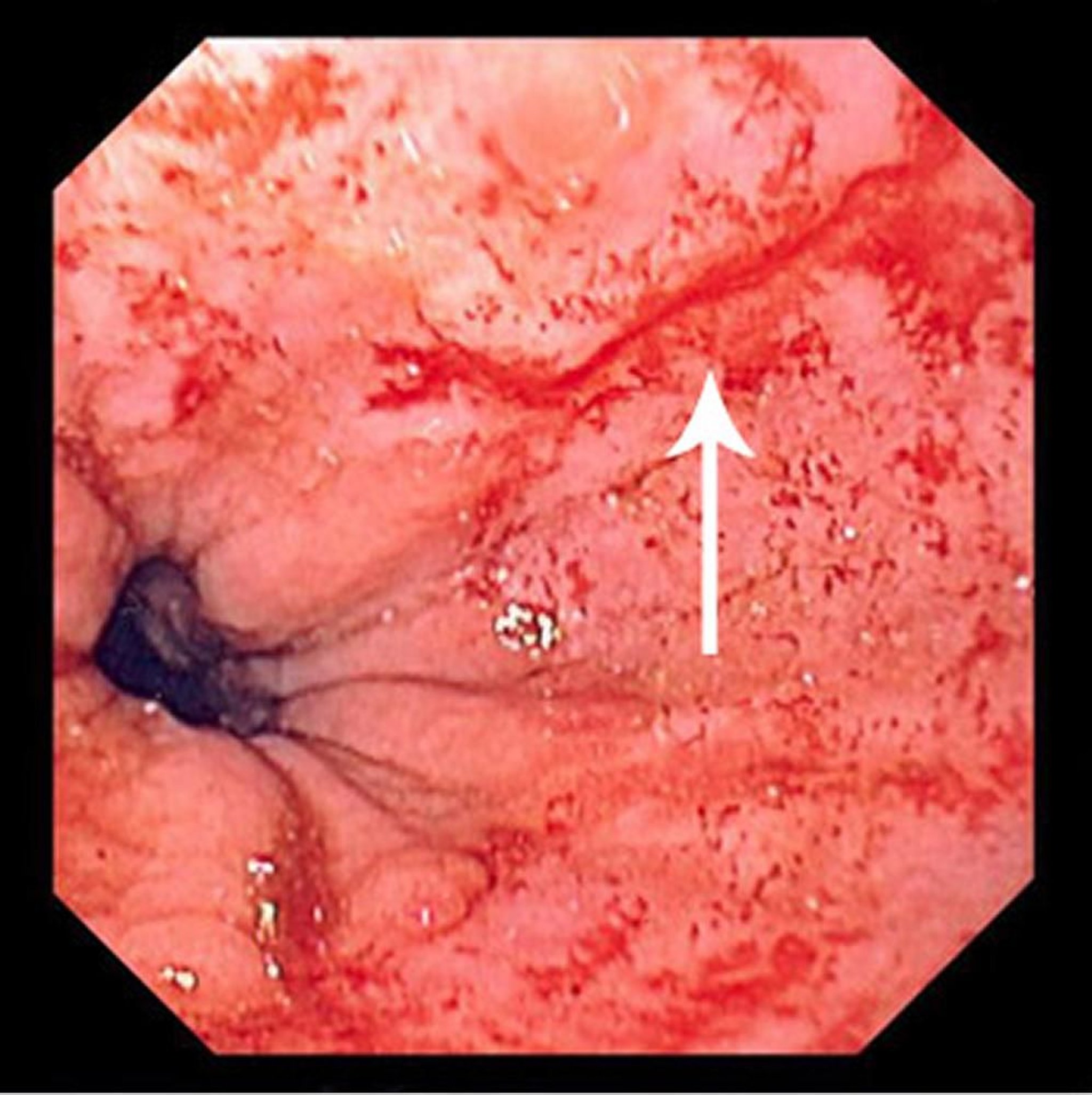
تمزق مالوري-وايس
تُظهر هذه الصورة تمزقًا رفيعًا بحسب مالوري-وايس (اتجاه السهم).
Photo provided by David M.Martin, MD.
في هذه الموضوعات
متلازمة مالوري-وايس
>