تضخم القلب

تضخم القلب

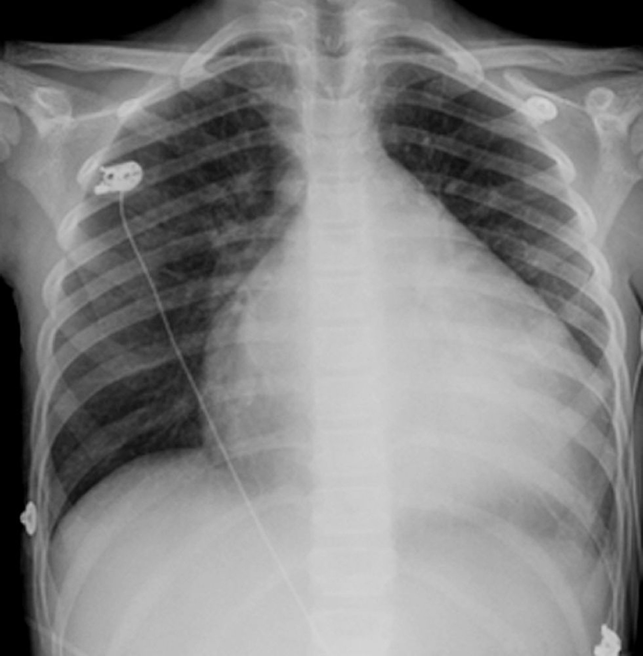
يبدو القلب كرويًا، بشكل بنية بيضاء في مركز الصدر.يشغل القلب عادةً مساحة أقل من مساحة نصف الصدر، ولكن عند هذا الشخص المُصاب بتضخم القلب فإن القلب يشغل حوالى ثلاثة أرباع مساحة الصدر.

© Springer Science+Business Media