التَحدَمِيَّة (النزف داخل الحجرة الأماميَّة للعين)

(نزف حجرة العين الأماميَّة)

حسبJurij R. Bilyk, MD, Thomas Jefferson University Hospital
تمت المراجعة من قبلDiane M. Birnbaumer, MD, David Geffen School of Medicine at UCLA
تمت مراجعته المعدل ربيع الأول 1446
v23633956_ar

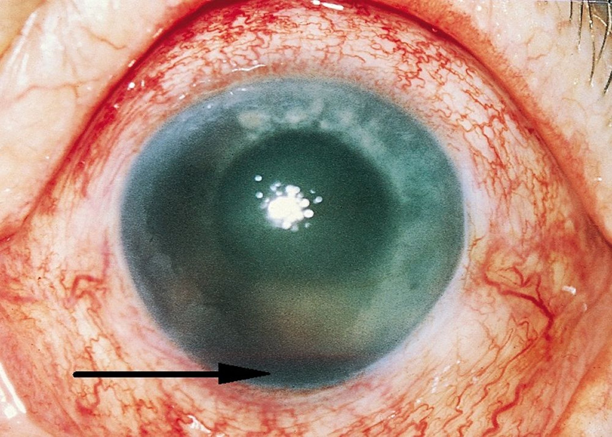
التَّحدميَّة hyphema هي نزف في الحجرة الأمامية (الحيِّز المليء بالسائل بين القرنيَّة الشفَّافة والقزحيَّة الملوَّنة) للعين،وقَد يحدث نزف إضافي (عودة النزف) لأيام عديدة من بعد الإصابة.

(انظر أيضًا لمحة عامة عن إصابات العين).

ستزُول التحدمية مع المعالجة الطبية عادةً، ولكنها تحتاجُ إلى مراقبة لأنها قد تُؤدِّي إلى ضعفٍ دائمٍ في الرؤية، جزئيّ أو كاملٍ.قد ينجُم ضعف الرؤية عن زيادة الضغط داخل العين (الزَّرَق)، أو عن تلطيخ القرنية بالدَّم أو، عن كليهما.

نظرة داخل العين

يكون لدى المُصابين بالتحدمية رؤية مغيمة وألم عند التَّعرُّض لضوءٍ ساطع،وإذا كانت التَّحدميَّة كبيرةً بشكلٍ كافٍ، تكُون طبقة من الدَّم مرئيةً وراء الجزء السفلي من القرنية عندما يكون المُصاب منتصبًا،ولكنَّ قد تكون الطبقة صغيرة جدًا بحيث لا يمكن رؤيتها إلَّا باستخدام عدسة مكبِّرَة.

علاج التحدمية

  • الراحة في الفراش مع رفع رأس السرير

  • درع واقٍ فوق العين

  • قطرات للعين

ينبغي أن يخضع المُصاب بالتحدمية إلى فحصٍ من قبل طبيب العيون (طبيب متخصص في التقييم والمعالجة الجراحيَّة وغير الجراحيَّة للعيون) في أقرب وقتٍ ممكن.قد يحتاج بعض المصابين الذين لديهم نزف شديد أو اضطرابات نزفية (مما يزيد من احتمالية حدوث النزف وعودته مرة أخرى)، أو الذين يأخذون أدوية تمنع أو تعالج الجلطات (مضادات التخثر)، إلى العلاج في المستشفى.

تنطوي المعالجة عادةً على الراحة في السرير مع رفع رأس السرير لمساعدة الدَّم على الاستقرار.تُعطَى قطراتٌ عينيَّةٌ غالبًا لتوسيع الحدقة (مثل الأتروبين atropine) ولتقليل الالتهاب والتندب داخل العين (الستيرويدات القشريَّة عادةً).يجري تثبيتُ درعٍ واق فوق العين للوقاية من المزيد من الإصابة،

ويقيسُ الاطباءُ الضغط داخل العين مرة واحدة على الأقل يوميًّا في الأيام القليلة الأولى؛ويجري قياس ضغط العين من دون ألم بواسطة أداة تُسمى مقياس توتر العين tonometer،وإذا كان الضغط مرتفعًا، قد يُعاني المصاب من الغثيان وألم في العين وتراجعٍ في الرؤية.قد يُعطي طبيبُ العيون المُصابَ قطرات عينيَّة كتلك المُستخدَمة في معالجة الزَّرق لخفض الضغط.ينبغي تجنُّبُ الأسبرين وغيره من مضادَّات الالتهاب غير الستيرويدية التي يمكن أن تؤهب للنزف، وذلك لعدَّة أسابيع اذا أمكن.نظرًا إلى أنَّ التَحدَمِيَّة تزيد من خطر الإصابة بالزرق على مدى الحياة، ينبغي أن يخضع من أُصِيبَ بالتَحدَمِيَّة في السابق إلى فحصٍ للعيون سنويًّا.

إذا كان النزف شديدًا أو يتكرَّر، قد يُعطي طبيبُ العيون المُصابَ حمض أمينوكابرويك أو حمض الترانيكساميك، وهما دواءان يُسرِّعان تجلُّط الدَّم.في حالاتٍ نادرةٍ، إذا سبب النزفُ زيادةً في الضغط داخل العين، قد يحتاجُ الدَّم إلى تصريفه جراحيًا.

quizzes_lightbulb_red
Test your KnowledgeTake a Quiz!
iOS ANDROID
iOS ANDROID
iOS ANDROID