الشُّحيمة والظُّفرَة

حسبZeba A. Syed, MD, Wills Eye Hospital
تمت المراجعة من قبلSunir J. Garg, MD, FACS, Thomas Jefferson University
تمت مراجعته المعدل شوّال 1446
v798414_ar

الشُّحيمة والظُّفرة (pinguecula and pterygium) هُما زائدتان جلديتان غير سرطانيتين (حميدتان) تحدثان على الملتحمة (الغشاء الذي يُبطِّنُ الجفن ويغطي بياض العين) وقد تنجمان عن التَّعرُّض المُزمن لأشعَّة الشَّمس.

نظرة داخل العين

الشُحيمة

الشُّحيمة هي زائدة مُتبارزة بلون أبيض مائلٍ إلى الأصفَر، تنمو بجوار القرنية (الطبقة الشفافة الموجودة أمام القزحية والبؤبؤ) ولكن ليس عليها.تكون غير سرطانية (حميدة) ولا تؤثر في الرؤية.

لا يتسبَّب هذا النُّموُّ عادةً بأيَّة أعراض، ولكنه قد يكون دميم المنظر.لا تُسبِّب الظفرة أيَّة مشاكل ملحُوظة عادةً، ولا تحتاج إلى إزالتها.

وإذا تمت إزالته، فلا ينكس عادةً.

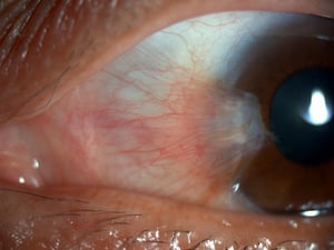
الظُفرة

الظفرة هي زائدة لحميَّة في الملتحمة تنمو بجوار القرنية وتمتد عليها.يُعد هذا النمو حميدًا.

لا تُسبِّبُ معظمُ الظفرات أعراضًا، ولكنها تُسبب في بعض الأحيان شعورًا بوجود شيء في العين أو تشوُّهًا في شكل القرنية، وربما تُؤدِّي إلى ضعف الرؤية (إما بسبب الانسداد أو اللابؤرية).قد تكون أيضاً مصدر قلق تجميلي.

للتخفيف من الأَعرَاض الناجمة عن الظفرة، قد يصف الأطباءُ الدُّموعَ الاصطناعية أو شوطًا قصيرًا من المُعالجة بقطرات عينية أو مراهم تحتوي على الستيرويدات القشريَّة.

يمكن إبطاء نمو ظفرة العين من خلال ارتداء قبعة لحماية العينين من أشعة الشمس فوق البنفسجية، وارتداء نظارات اعتيادية أو شمسية تحتوي على طبقة تحمي من الأشعة فوق البنفسجية.

وإذا لم تتراجع الأعراض، وخاصة إذا تأثرت الرؤية سلبًا، أو إذا نمت الظفرة أو عادت، فقد يجري استئصالها جراحيًا.بعد إزالة الظفرة، يُجرى أحيانًا تطعيم ذاتي للملتحمة (conjunctival autograft).في هذا الإجراء، تُثبت قطعة من الملتحمة السليمة من عين الشخص نفسه فوق المنطقة التي تمت إزالة الظفرة منها لاستبدال النسيج المستأصل.

quizzes_lightbulb_red
Test your KnowledgeTake a Quiz!
iOS ANDROID
iOS ANDROID
iOS ANDROID